• Версия для печати

Снимки на дисплазию

Список разделов Собачья жизнь Ветеринария

Описание: Здоровье наших питомцев

#121 artha » 21.11.2015, 04:07

СветаХ, вы когда собираетесь? Я хочу на следующей неделе в среду-четверг. В начале недели узнаю какой у них график сейчас и бланки надо скачать-заполнить.
Когда не думаешь - многое становится ясно.
artha F
Ветеран
Аватара
Репутация: 122
С нами: 12 лет 5 месяцев

#122 artha » 25.11.2015, 20:18

Всё мы сделали снимки.
Но проблема есть одна. Должно быть указано на снимках ,где правый,а где левый сустав. А у нас нет нигде и вообще непонятно где какая сторона.

Кто-нибудь знает,что делать в таком случае?
Когда не думаешь - многое становится ясно.
artha F
Ветеран
Аватара
Репутация: 122
С нами: 12 лет 5 месяцев

#123 MariaIrk » 09.01.2016, 00:38

Добрый день! Подскажите пожалуйста как поступить. Хотим купить щенка ему 5 месяцев, после длительных прогулок прихрамывает на заднюю лапку. Делали снимок без наркоза, врач сказал что в таком возрасте дисплазия не диагностируется. Прошу совета, как все таки распознать вероятность этого недуга? Возможно ли это в возрасте 5 месяцев?
MariaIrk

  • 1

#124 UlyaBlack » 09.01.2016, 10:24

в 5 мес. грубые нарушения в суставе (степень Д и Е) уже видно на рен.снимке
UlyaBlack F
Ветеран
Аватара
Откуда: Братск
Репутация: 138
С нами: 12 лет 7 месяцев

#125 MariaIrk » 09.01.2016, 11:31

Снимки делали без наркоза, по ним хирург сказал что нарушений не видит сейчас. Посоветовал обратиться ближе к году, но т.к мы выбрали именно этого щенка очень переживаем за него.
MariaIrk

  • 1

#126 angarskbrt » 09.01.2016, 11:55

MariaIrk писал(а):Снимки делали без наркоза, по ним хирург сказал что нарушений не видит сейчас. Посоветовал обратиться ближе к году, но т.к мы выбрали именно этого щенка очень переживаем за него.
Вы снимки сюда выложите или в личку пришлите, чтобы можно было вам что то конкретное сказать.
Без наркоза обычно просто результат чуть лучше получается. А вообще в 5 мес. можно уже делать предварительные прогнозы, что ждать дальше.
Добро пожаловать в "Ангарскую Жемчужину"
8-914-944-1080
http://angarsk-brt.ru/
angarskbrt F
Ветеран
Аватара
Откуда: Ангарск
Репутация: 168
С нами: 12 лет 7 месяцев

  • 1

#127 chico » 09.01.2016, 12:10

MariaIrk писал(а):5 месяцев, после длительных прогулок прихрамывает на заднюю лапку.
А Вы не думали над тем, что щенку в 5 месяцев ещё рано совершать длительные прогулки? Нагрузки нужно тщательно дозировать: щенок не должен чрезмерно уставать.А еще нужно избегать некоторых движений, пока кости и суставы собаки не окрепнут. Можно подавать сейчас для профилактики Гаг Форте.
Отдых на Байкале с собаками, щенки суссекс спаниеля тел. 89021778850
chico F
Ветеран
Аватара
Репутация: 353
С нами: 12 лет 7 месяцев

#128 artha » 09.01.2016, 14:25

А порода кстати какая?

Важно,что вы называете длительными прогулками, какая кондиция у щенка и какое питание

Вы где делали снимки и кто смотрел?

Выложите сюда,действительно,как сказала Вероника.
Когда не думаешь - многое становится ясно.
artha F
Ветеран
Аватара
Репутация: 122
С нами: 12 лет 5 месяцев

#129 MariaiRK » 09.01.2016, 18:09

Снимки на данный момент у владельца собаки, все эти процедуры они делали без нас. Завтра скорее всего поедим за щенком и я заберу снимки, тогда смогу отправить. Спасибо за помощь, я обязательно выложу сюда снимки
MariaiRK

#130 MariaiRK » 09.01.2016, 18:13

На счет прогулок, они гуляют в лесу по часу в день примерно. Собаки ничего в нагрузку не таскают, спокойная прогулка.
MariaiRK

#131 MariaiRK » 09.01.2016, 18:15

Щенок маламута. Снимки делали на красноказачей смотрел врач их там же
MariaiRK

#132 RistStyle » 10.01.2016, 01:43

MariaIrk, чтобы разговаривать предметно, нужно видить снимки) и ветврачей в городе много грамотных, которые вам их прокомментирует ) и как правило собакам племенным как раз в таком возрасте и делают снимки, что бы знать что у них с суставами предварительно ))))
RistStyle
Чемпион
Аватара
Откуда: Братск
Репутация: 68
С нами: 12 лет 7 месяцев

#133 Нурай » 17.01.2016, 19:25

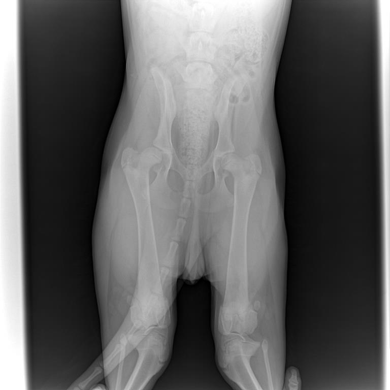
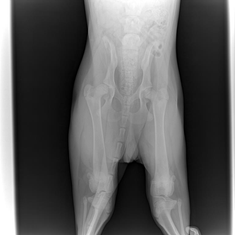
Здравствуйте! Подскажите пожалуйста,что делать. Взяли щенка немецкой овчарки в возрасте одного месяца. Все было хорошо. Когда хотели отдать на дрессировку нам сказали проверить ножки на дисплазию. Снимок делали в 4,5 месяца.Врач поставил дисплазию. В таком возрасте можно ставить точный диагноз? К сожалению снимки не подписали.
Вложения
124722_0harvi.jpg
124725_01harvi.jpg
Нурай
Беби
Репутация: 0
С нами: 10 лет 4 месяца

#134 artha » 17.01.2016, 19:35

То,что видно по снимкам-дисплазия имеется. Но лечение и указания должен назначать врач,учитывая состояние собаки и наличие или отсутствие других симптомов.

Насчет возраста-обычно с возрастом становится хуже,а не наоборот.
Когда не думаешь - многое становится ясно.
artha F
Ветеран
Аватара
Репутация: 122
С нами: 12 лет 5 месяцев

#135 Нурай » 17.01.2016, 19:54

Спасибо большое за ответ. А вы случайно не знаете хороших врачей в Казахстане?
Нурай
Беби
Репутация: 0
С нами: 10 лет 4 месяца

#136 artha » 17.01.2016, 20:55

Ой,так вы не в Иркутске.
Нет,совсем не знаю. Но в любом случае,лучше уж какой-то врач,чем никакой.
Когда не думаешь - многое становится ясно.
artha F
Ветеран
Аватара
Репутация: 122
С нами: 12 лет 5 месяцев

#137 Нурай » 17.01.2016, 21:26

Я с Казахстана и когда искала информацию по дисплазии увидела ваш форум и решила написать.
Нурай
Беби
Репутация: 0
С нами: 10 лет 4 месяца

#138 chico » 17.01.2016, 21:30

Нурай, сходите на сайт Вилена Борисовича Давыдова, там много материала, советов, есть форум по дисплазии, возможно там Вам посоветуют врачей в Вашем регионе! http://www.vethospital.ru/forum/ Удачи!
Отдых на Байкале с собаками, щенки суссекс спаниеля тел. 89021778850
chico F
Ветеран
Аватара
Репутация: 353
С нами: 12 лет 7 месяцев

#139 artha » 17.01.2016, 21:40

Да,точно. Всё верно пишет chico. Туда прямо снимки можно загрузить и врач,не сразу,но прокомментирует ситуацию.
Когда не думаешь - многое становится ясно.
artha F
Ветеран
Аватара
Репутация: 122
С нами: 12 лет 5 месяцев

#140 Нурай » 18.01.2016, 00:36

Chico, спасибо за совет. Написала теперь осталось ждать ответа.
Нурай
Беби
Репутация: 0
С нами: 10 лет 4 месяца

Пред.След.

Вернуться в Ветеринария

Кто сейчас на форуме (по активности за 5 минут)

Сейчас этот раздел просматривают: 1 гость

cron